BOLI CU TRANSMITERE SEXUALĂ
Viața sexuală este o parte normală și sănătoasă a existenței noastre. Este un mod de a ne împărtăși afecțiunea și tandrețea, plăcerea și bucuria. Pentru unii viața sexuală este o parte a unei relații de lungă durată, iar pentru alții relațiile sexuale nu implică neaparat o relație stabilă. Pe aceasta cale indiferent dacă aveți sau nu o relație de cuplu vom încearca să vă ajutăm să aveți o viață sexuală sănătoasă.
Păduchii lați (phtirus pubis) sunt paraziți de 1-4 mm care determină pediculoza pubiană. Se fixează și își depun ouăle pe părul pubian; de aici se pot răspândi pe așternuturi sau îmbrăcăminte, unde pot trăi cateva zile. Se pot observa cu ochiul liber la rădăcina firelor de păr, ca niște pete mici maronii. Păduchii lați se transmit prin contactul intim cu persoana infestată sau prin folosirea în comun a lenjeriei, prosoapelor etc. Păduchi lați se hrănesc cu sângele din vasele capilare. Ca urmare, pe piele apar mici umflături roșiatice (papule) care provoacă mâncărimi intense. Atenție! Păduchii lați pot supraviețui o zi departe de corpul uman, mai ales în mediul umed (ex. prosoape, așternuturi umede). Pot urca în părul din sprâncene sau din cap.

Este o boală cauzată de un parazit (sarcoptes scabie ). Femela sapă galerii în piele mai ales în timpul nopții, iar după ce depune ouăle, moare. Larvele înțeapă pielea pentru a se hrăni. Contaminarea se face prin contactul intim cu persoana infestată sau prin folosirea în comun a lengerieii, prosoapelor etc. Contactul sexual reprezintă o modalitate de transmitere a acestui parazit. Principalele semne ale bolii sunt: roșeata pielii și mâncarime intensă. În zona afectată pot apărea infecții secundare. Mai nou scabia are manifestări nespecifice, fiind greu de diagnosticat. Atenție! Cazurile de scabie apar mai frecvent la persoanele cu igiena precară dar nu numai; de asemenea, pot apărea în colectivități cum ar fi școli, spitale etc.

Este cauzată de o ciupercă (Candida albicans) ce trăiește în mod normal pe piele și pe mucoase. Este, deci, o infecție care nu se transmite neaparat pe cale sexuală. Atât femeile cât și bărbații pot avea candidoză genitală fără să aibă nici un semn. Dacă apar, la femeie semnele pot fi: iritație, roșeață, mâncărime în zona organelor genitale externe, o secreție vaginală albă, vâscoasă și/sau o senzație de disconfort în timpul actului sexual. La bărbat pot apărea iritații și mâncărime în zona penisului sau/și scurgeri din uretră. Complicații posibile: candidoza genitală nu este o boala gravă, dar neplacută prin simptomatologie. Deseori ea apare la persoane care iau antibiotice sau care suferă de anumite boli, precum diabetul zaharat. Atenție! Evitați să purtați lenjerie intimă care nu este din bumbac sau pantaloni foarte strâmți. În timpul menstruației folosiți mai degrabă tampoane externe decât interne, pe care trebuie să le schimbați frecvent. Dacă știți că un antibiotic (luat pentru orice boală) vă declanșează candidoza genitală, spune-ți acest lucru medicului.
Este o boală cauzată de un parazit, Trichomonas vaginalis. La femeie, această infecție se manifestă, cel mai frecvent, printr-o scurgere vaginală abundentă, galben-verzuie, spumoasă, urât mirositoare, însoțită de roșeață, și disconfort sau chiar dureri în timpul actului sexual. Infecția poate să nu se manifeste (asimptomatică). La bărbat, de cele mai multe ori, infecția nu se manifestă. Atunci când apar, semnele constau în dureri și usturimi la urinat, scurgere uretrală, roșeață și iritații la nivelul prepuțului. Complicații: trichomoniaza nu este o boala gravă. A fost însă asociată cu existența unui risc mai mare de anexită, naștere prematură și infectare cu HIV. Atenție! Chiar dacă partenerul / partenera dvs. nu are nici un simptom, trebuie să vă tratați amândoi, altfel boala va reapare!
Chlamydiaza este determinată de un germen care locuiește în interiorul celulelor, Chlamydia trachomatis. La femeie, chlamydia îmbolnăvește cel mai frecvent colul uterin, uterul, trompele uterine și /sau uretra. Ca urmare, în funcție de localizare, semnele (când apar) pot fi:

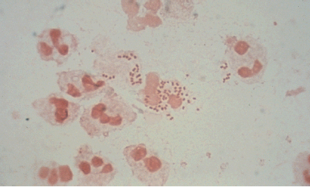
Este cauzată de o bacterie, Neisseria gonorrhoeae (gonococ). Femeile de obicei nu prezintă simptomele infecției. Manifestările care totuși apar mai des sunt scurgeri vaginale mai abundente de culoare alb-gălbuie, dureri, usturimi la urinare sau sângerări între menstruații. La bărbați, infecția se manifestă de obicei prin dureri la urinat și nevoia de a urina des, însoțite de scurgere uretrală alb-gălbuie. Gonoreea se poate transmite și prin contact sexual oral (durere și iritație la nivelul gâtului) sau anal (scurgere și iritație la nivelul anusului). Complicații: Până la 40% din femeile cu gonoree netratată au infecții la nivelul aparatului genital superior (uter, trompe și ovare). Ca urmare, femeile respective pot deveni sterile sau au riscul de a dezvolta abcese (pungi cu puroi) la nivelul acestor organe. Bărbații infectați au risc de complicații genitale (ale epididimului testiculelor și sterilitate) sau urinare (strâmtorarea uretrei). Femeia bolnavă poate transmite infecția copilului sau în timpul nașterii. La nou-născut, gonococul poate determina infecții ale ochilor, infecții respiratorii sau anorectale, care pot determina sechele în viitor. Atenție! Gonoreea este o boală gravă prin consecințele sale posibile. Vă puteți proteja evitând contactele sexuale întâmplătoare și folosind prezervativul. Dacă unul dintre parteneri este infectat, trebuie evitate contactele sexuale până când ambii parteneri sunt tratați și vindecați.


Este o boală gravă cauzată de infecția cu o spirocheta, Treponema pallidum. Este o boală care,
netratată, are o evoluție lentă (10-15 ani), dar foarte gravă.
Cei 15 ani de evoluție pot fi împărțiți în trei stadii:
-Sifilis primar: primele 6 luni de la contactul sexual infectant. După 10 – 90 zile de la infecție apare o rană
(de obicei unică) în zona contactului sexual (vagin, gură, anus/rect). Rana, numită “șancru”, este o suprafață de
unde lipsește pielea, de formă rotundă, ovală, ca o monedă mică, nedureroasă și cu baza tare. După aprox. 3 săptămâni,
leziunea se vindecă singură, fără urmă. De obicei, persoana se crede vindecată.
-Sifilis secundar: durează între luna a șasea și a 24-a de la momentul infectării.
Acum apar modificări ale pielii
palmelor. Testele de sânge (RBW sau VDRL) sunt intens pozitive.
-Sifilis terțiar: este restul perioadei de evoluție până la 15 ani. Acum microbul se cantonează în diferite organe
interne (oase, sistem nervos, aorta, etc.) pe care le distruge. Din acest moment boala este din ce în ce mai greu de
vindecat și se poate ajunge chiar la deces.
Complicații: netratat, poate duce la afectarea gravă a organelor interne (mai ales creier) și chiar la deces.
Sifilisul se transmite de la mama infectată la făt în timpul sarcinii, putând determina malformații și alte afecțiuni
congenitale grave ale fătului.
Apariția lor este determinată de anumite tulpini ale Virusului PapiIloma Uman (HPV). Atât la femei cât și la bărbați, boala se manifestă prin apariția uneia sau mai multor excrescențe de culoarea pielii, cărnoase, de dimensiuni inițial mici, uneori chiar invizibile, care apar în zona genitală (vulvă, vagin, col uterin, uretră, penis, anus sau tegumentul din jurul lor). Femeile cu negi pe pereții vaginului sau pe colul uterin pot să nu observe existența leziunilor, chiar dacă sunt mai mari. Complicații: La femeie, atunci când sunt foarte mari, negii genitali pot impiedica nașterea pe cale naturală. Atenție! Ca orice infecție virală, negii genitali nu se vindecă. Chiar dacă excrescențele dispar pe moment în urma tratamentului, virusul rămâne cantonat în organism și boala poate reapare ulterior. Orice femeie care a avut negi genitali trebuie să-și facă anual un test Babeș – Papanicolau.
Este determinat de virusul herpex simplex de tip 2, înrudit cu virusul simplex de tip 1, ce determină herpesul la nivelul gurii. La ambele sexe, infecția se manifestă printr-una sau mai multe vezicule ce pot apărea oriunde în zona genitală și sunt însoțite de mâncărimi. Veziculele se rup spontan și formează ulcerații care pot fi dureroase. Leziunile se vindecă singure în câteva zile, de obicei fără să lase cicatrici. Complicații: La ambele sexe pot apărea afecțiuni neurologice. La femei, herpesul genital poate duce la pierderea sarcinii sau la naștere prematură. Dacă mama este bolnavă, copilul se poate infecta în timpul nașterii. La copil, pot apărea infecții ale ochilor, mucoaselor, pielii sau ale sistemului nervos. Unele dintre acestea pot fi foarte grave, ducând la decesul copilului sau la sechele pentru toata viața. Atenție! Virusul, odată intrat rămâne în celulele organismului toată viața, determinând din când în când reapariția simptomelor. Persoana infectată poate transmite infecția mai departe chiar dacă nu are nici un semn de boala în acel moment. În timpul atacurilor de boală, contagiozitatea este maximă și nu trebuie avut contact sexual. Prezervativul asigură doar o protecție relativă contra transmiterii herpesului genital. Prezența leziunilor herpetice crește riscul transmiterii HIV.
Hepatita B este o boală inflamatorie a ficatului, determinată de virusul hepatitei B. Există mai multe feluri de virusuri ce pot determina hepatite (A, B, C, D, E, etc). între aceste virusuri există diferențe în ceea ce privește modul de transmitere și gravitatea bolii. Deși nu determină nici un fel de simptome ale aparatului genital, virusul hepatitei B se transmite cel mai frecvent pe cale sexuală. Alte căi de transmitere sunt: sânge, transplanturi, instrumentar medical nesterilizat, de la mamă la făt. De multe ori, hepatita B nu se manifestă clinic. Atunci cand apar, semnele cele mai frecvente sunt: oboseala, pierderea poftei de mancare, greata, voma, colorarea tegumentelor si mucoaselor (ochii) intr-o nuanta galbuie (icter). Complicații: hepatita B este o infecție gravă. Virusul cantonat în ficat poate determina în timp hepatita cronică, ciroză hepatică sau cancer hepatic, urmate de deces. Purtătorii de virus B (AUSTRALIA) nu au voie sa doneze sânge, chiar dacă sunt sănătoși. Atenție! Vă puteți proteja contra hepatitei B, ca și contra altor ITS, evitând contactele sexuale întâmplătoare și folosind prezervativul. Din fericire, contra infecției cu virusul hepatitei B există un vaccin care vă poate proteja! Întrebați medicul dvs. de familie despre el!
Sindromul Imunodeficitar Dobândit (în engleză AIDS) este o boală cauzată de
virusul HIV (virusul imunodeficienței umane). Virusul distruge sistemul imunitar al organismului făcându-l incapabil
să se apere în lupta cu agenții infecțioși.
Mecanismul de transmitere a virusului HIV este prin contact cu fluidele infectate, în care virusul este în
concentrație mare (sânge, spermă, secreții vaginale). La o persoană infectată, virusul HIV se află în toate
fluidele corpului (sănge, spermă, secreții vaginale, lapte matern, lacrimi, salivă), dar în concentrații diferite.
De aceea, nu toate fluidele sunt la fel de infectante.
HIV SE TRANSMITE prin:
-raport sexual(vaginal, anal, oral);
-sânge (primirea de sânge infectat prin transfuzie sau prin produse din sânge);
-folosirea acelor și a altor obiecte ascuțite, tăioase nesterilizate;
-de la mama infectată la făt.
HIV NU SE TRANSMITE prin:
strângere de mână; atingere; îmbrățișare; folosirea în comun a cănilor, farfuriilor, tacâmurilor, a prosoapelor sau
a hainelor, sărut, de pe clanțele ușilor, scaune de WC, din piscină sau prin înțepături de țânțari.
Infecția cu HIV poate fi depistată prin anumite teste de sânge, care evidențiază anticorpii sintetizați de
organism contra virusului: ELISA Western Blot. În primele 1-9 luni de la contactul infectant aceste teste nu
sunt însă concludente – organismului îi trebuie acest timp pentru a sintetiza anticorpii pe care îi depistează
testul – de aceea rezultatul definitiv nu poate fi știut până ce nu trece aceasta perioadă.